Цікавинки

У новій ресторанній мережі відвідувачі їдять із унітазів
26 листопада 2009, 13:44

У новій ресторанній мережі відвідувачі їдять із унітазів

Останній каприз кулінарної моди відбиває дивні, якщо не сказати більше, смаки мешканців Гонконгу й перекручене почуття гумору У Гонконгу створена й розширюється мережа ресторанів Modern Toilet.


Першою красунею арабського світу стала 90-кілограмова дівчина
26 листопада 2009, 13:32

Першою красунею арабського світу стала 90-кілограмова дівчина

У Каїрі пройшов традиційний конкурс "Міс арабського світу-2009" (Miss Arab World), переможницею якого, на подив багатьох, стала вгодована 23-річна красуня з Саудівської Аравії Мавадда Нур.


У кав’ярнях клієнтам тепер ще й ворожать на гущі
25 листопада 2009, 16:46

У кав’ярнях клієнтам тепер ще й ворожать на гущі

У популярній мережі ізраїльських кав’ярень Іlan’s Coffee House тепер пропонують клієнтам, що замовляють каву, безкоштовне гадання на кавовій гущі.


Японець одружився з персонажем комп'ютерної гри
25 листопада 2009, 16:07

Японець одружився з персонажем комп'ютерної гри

Японський геймер закохався у героїню комп’ютерної гри Love Plus на ім'я Нене Анегасакі. Але віртуального роману йому виявилося недостатньо, і на минулих вихідних чоловік уклав з персонажем відеогри офіційний шлюб. Він став першим чоловіком, який взяв за дружини цифрову дівчину.


Велетенська чайка увірвалась у ефір австралійського телебачення
25 листопада 2009, 15:14

Велетенська чайка увірвалась у ефір австралійського телебачення

  Під час прямої трансляції у ефірі австралійського телебачення у ведучого за спиною з’явилася гігантська чайка зростом з людину. Як з'ясувалося, зображення, яке було фоном ведучого, надходило з камери, що знімає пейзаж міста.


Німецькі католики вимагатимуть реформ стосовно обітниці безшлюбності
25 листопада 2009, 14:35

Німецькі католики вимагатимуть реформ стосовно обітниці безшлюбності

  Глава провідного християнського руху Німеччини ZdK (Zentralkomitee der deutschen Katholiken) Алоіз Глюк закликав звільнити католицьких священиків від антигуманної обітниці безшлюбності.


Дітям корисно інколи побути брудними
25 листопада 2009, 13:41

Дітям корисно інколи побути брудними

Американські вчені стверджують, що дітям інколи корисно бути брудними, адже зайва чистота шкодить шкірі. На поверхні шкіри живуть бактерії, які запобігають її запаленню, вони стримують організм від занадто бурхливої реакції на подразнення. Таким чином, вбивати цих бактерій шкідливо.


IQ людини збільшився завдяки шлюбним ігрищам
24 листопада 2009, 15:19

IQ людини збільшився завдяки шлюбним ігрищам

На думку американського професора Міллера, підвищення рівня IQ стало результатом шлюбних залицянь 100 тисяч людських поколінь предків, заснованих на сигналах пристосованості, створених, узагальнених і засвоєних в результаті мозкової діяльності.


Кішка рятувала господаря від штрафу
24 листопада 2009, 9:55

Кішка рятувала господаря від штрафу

Кумедний відеозапис оприлюднила поліція Техасу: домашня кішка заважала поліцейському виписувати штраф її господареві. На записі, який вела відеокамера, встановлена в поліцейській машині видно, як чорна кішка спокійно підійшла до поліцейського і спочатку почала тертися об його ноги.


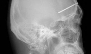
Китаєць, розраховуючи на страхування, забив дружині цвях у голову
23 листопада 2009, 16:57

Китаєць, розраховуючи на страхування, забив дружині цвях у голову

<!-- /* Style Definitions */ p.MsoNormal, li.MsoNormal, div.MsoNormal {mso-style-parent:""; margin:0cm; margin-bottom:.0001pt; mso-pagination:widow-orphan; font-size:12.0pt; font-family:"Times New Roman"; mso-fareast-font-family:"Times New Roman";} @page Section1 {size:612.0pt 792.